كان بحاجة إلى سيارة إسعاف.
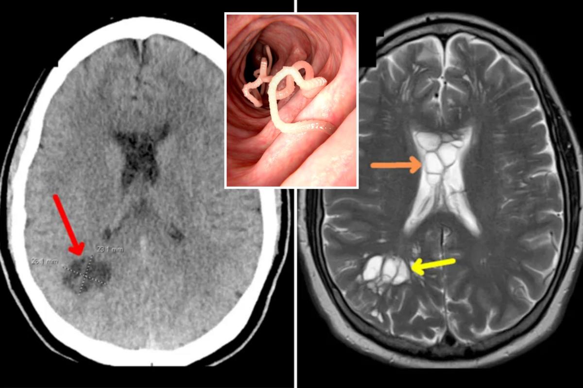
كان رجل من فلوريدا يبلغ من العمر 52 عامًا يعتقد أنه يعاني من الصداع النصفي الشديد، وكان يعاني في الواقع من غزو غريب للدودة الشريطية في دماغه، بسبب تناول لحم الخنزير المقدد غير المطبوخ جيدًا.
كان المريض الذي لم يذكر اسمه، والذي شقت قصته معاناته الطبية طريقها مؤخرًا إلى المجلة الأمريكية لتقارير الحالة، يشكو من صداع شديد لمدة أسبوع على مدى أربعة أشهر بعد تناول منتج لحم الخنزير المزعج.
قال الخبراء إن “تفضيل الفرد لحم الخنزير المقدد الطري طوال حياته” لم يكن السبب الوحيد لهذا المرض الغريب المحدد – بل إن وجبة الإفطار المفضلة لديه أصبحت سيئة، حيث ترك عدم طهيها بشكل جيد الرجل عرضة للخطر بشكل استثنائي.
أدت حالة العاصفة المثالية إلى حالة من داء الكيسات المذنب العصبي – وهو المصطلح العلمي لطفيلي يضع بيضًا يصيب مناطق عديدة من الجسم.
والأمر الأكثر إثارة للاشمئزاز هو أن داء الكيسات المذنب العصبي يمكن أن يكون معديًا.
“من غير المعتاد تاريخيًا أن نواجه لحم خنزير مصابًا في الولايات المتحدة، وهذا هو حالنا
وكتب الباحثون: “قد يكون لها آثار على الصحة العامة”.
وفقًا لمركز السيطرة على الأمراض، إذا لم يغسل الأفراد المصابون أيديهم جيدًا بعد حركة الأمعاء، فيمكنهم نشر البيض إلى أفراد آخرين في أسرهم – خاصة من خلال الطعام.
يقول مركز السيطرة على الأمراض إن هذا المرض غير المعتاد “يمكن الوقاية منه” ولكنه لا يزال يؤدي إلى دخول المستشفى لنحو 1000 أمريكي سيئ الحظ سنويًا.
في هذه الحالة، بالإضافة إلى التورم، أصيب المريض بكيسات على جانبي دماغه. تم تحديد هذا لاحقًا على أنه الدودة الشريطية التي وضعت بيضها داخل دماغ الرجل.
وقد عولج بعقار ألبيندازول المضاد للديدان، مما أدى إلى تحسنه بعد أسبوعين.
ولأن أربع من كل خمس حالات تنطوي على نوبة صرع، يتم تحذير الأطباء من “الاحتفاظ بمؤشر عالٍ من الشك والحصول على تاريخ شامل للمرضى الذين يعانون من تغيرات في نمط الصداع النصفي”.

















اترك ردك