يلقي هذا الاكتشاف المفاجئ الضوء على أسباب مرض هنتنغتون، وهو اضطراب دماغي مميت ومدمر

يكشف العلماء سر الأسباب التي تسبب مرض هنتنغتون، وهو اضطراب وراثي مدمر ومميت يصيب في مقتبل العمر، ويتسبب في انهيار الخلايا العصبية في أجزاء من الدماغ وموتها.

الطفرة الجينية المرتبطة بمرض هنتنغتون معروفة منذ فترة طويلة، لكن العلماء لم يفهموا كيف يمكن أن يصاب الناس بهذه الطفرة منذ الولادة، ولكن لا يصابون بأي مشاكل حتى وقت لاحق في الحياة.

يُظهر بحث جديد أن الطفرة، بشكل مدهش، غير ضارة لعقود من الزمن. لكنها تنمو بهدوء إلى طفرة أكبر – حتى تتجاوز العتبة في النهاية، وتنتج بروتينات سامة، وتقتل الخلايا التي توسعت فيها.

الأخبار الموثوقة والمسرات اليومية، مباشرة في صندوق الوارد الخاص بك

شاهد بنفسك – The Yodel هو المصدر المفضل للأخبار اليومية والترفيه والقصص التي تبعث على الشعور بالسعادة.

“لقد كان اللغز في مجالنا هو: لماذا تعاني من اضطراب وراثي يظهر لاحقًا في الحياة إذا كان الجين موجودًا عند الحمل؟” وقال الدكتور مارك ميلر، الذي يدير معهد اضطرابات الدماغ والتجديد العصبي في كلية ألبرت أينشتاين للطب ولم يشارك في البحث. ووصف البحث بأنه دراسة “تاريخية” وقال “إنه يعالج الكثير من القضايا التي ابتلي بها هذا المجال لفترة طويلة”.

ويؤدي موت خلايا الدماغ في النهاية إلى مشاكل في الحركة والتفكير والسلوك. تبدأ أعراض هنتنغتون – والتي تشمل الحركة اللاإرادية، والمشية غير المستقرة، وتغيرات الشخصية، وضعف الحكم – عادةً بين سن 30 و50 عامًا، وتتفاقم تدريجيًا على مدى 10 إلى 25 عامًا.

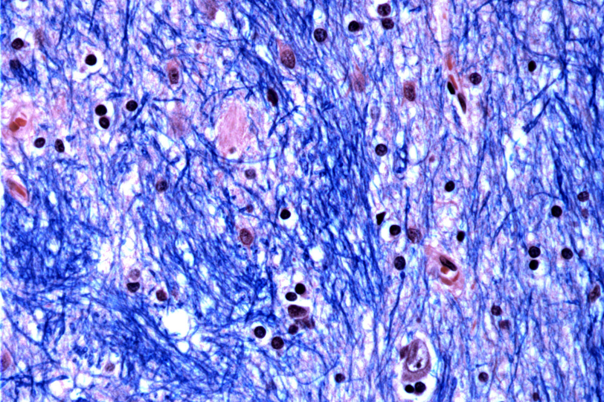
وقام علماء في معهد برود التابع لمعهد ماساتشوستس للتكنولوجيا وجامعة هارفارد ومستشفى ماكلين في ماساتشوستس وكلية الطب بجامعة هارفارد بدراسة أنسجة المخ التي تبرع بها 53 شخصا مصابين بمرض هنتنغتون و50 شخصا غير مصابين به، وقاموا بتحليل نصف مليون خلية.

وركزوا على طفرة هنتنغتون، التي تتضمن امتدادًا من الحمض النووي في جين معين حيث يتكرر تسلسل مكون من ثلاثة أحرف – CAG – 40 مرة على الأقل. أما بالنسبة للأشخاص الذين لا يعانون من المرض، فيتكرر هذا التسلسل من 15 إلى 35 مرة فقط. واكتشفوا أن مسارات الحمض النووي التي تحتوي على 40 أو أكثر من هذه “التكرارات” تتوسع بمرور الوقت حتى يبلغ طولها مئات من الـ CAGs. بمجرد وصول CAGs إلى عتبة حوالي 150، فإن أنواعًا معينة من الخلايا العصبية تمرض وتموت.

وقال ستيف مكارول، عضو برود والمؤلف الرئيسي المشارك للدراسة التي نشرت يوم الخميس في مجلة الخلية، إن النتائج “كانت مفاجئة حقا، حتى بالنسبة لنا”. تم تمويل الدراسة جزئيًا من قبل معهد هوارد هيوز الطبي، وهي منظمة تدعم أيضًا قسم الصحة والعلوم في وكالة أسوشيتد برس.

وقدر فريق البحث أن المسالك المتكررة تنمو ببطء خلال العقدين الأولين من الحياة، ثم يتسارع المعدل بشكل كبير عندما تصل إلى حوالي 80 CAGs.

وقالت سابينا بيريتا، باحثة علم الأعصاب، وأحد كبار مؤلفي الدراسة: “كلما طالت فترة التكرار، كلما حدثت البداية في وقت مبكر من الحياة”.

اعترف الباحثون بأن بعض العلماء كانوا متشككين في البداية عندما تمت مشاركة النتائج في المؤتمرات، حيث وجد العمل السابق أن التوسعات المتكررة في نطاق 30 إلى 100 CAGs كانت ضرورية – ولكنها ليست كافية – للتسبب في مرض هنتنغتون. وافق مكارول على أن 100 أو أقل من CAGs ليست كافية لتحفيز المرض، لكنه قال إن دراسته وجدت أن التوسعات التي تحتوي على 150 CAGs على الأقل كافية.

ويأمل الباحثون أن تساعد النتائج التي توصلوا إليها العلماء في التوصل إلى طرق لتأخير أو منع هذه الحالة غير القابلة للشفاء، والتي تصيب حوالي 41000 أمريكي ويتم علاجها الآن بأدوية للتحكم في الأعراض.

في الآونة الأخيرة، واجهت الأدوية التجريبية المصممة لخفض مستويات البروتين الذي ينتجه جين هنتنغتون المتحور صعوبات في التجارب. تشير النتائج الجديدة إلى أن عددًا قليلًا من الخلايا لديها النسخة السامة من البروتين في أي وقت.

وقال الباحثون إن إبطاء أو إيقاف توسع تكرارات الحمض النووي قد يكون وسيلة أفضل لاستهداف المرض.

وعلى الرغم من عدم وجود ضمانات بأن هذا من شأنه أن يمنع مرض هنتنغتون، قال مكارول: “تبدأ العديد من الشركات أو توسع برامجها لمحاولة القيام بذلك”.

——

يتلقى قسم الصحة والعلوم في وكالة أسوشيتد برس الدعم من مجموعة الإعلام العلمي والتعليمي التابعة لمعهد هوارد هيوز الطبي ومؤسسة روبرت وود جونسون. AP هي المسؤولة الوحيدة عن جميع المحتويات.