ليس من المستغرب أن يخشى الكثير من الناس طبيب الأسنان. غالبًا ما يتطلب استبدال السن إجراء عملية جراحية جائرة وزرع برغي من التيتانيوم في عظم الفك للمريض، ثم الانتظار لعدة أشهر حتى يتم تقوية ذلك إلى جذر صناعي، قبل تثبيت تاج أو غطاء فوقه.
لكن مجموعات البحث في جميع أنحاء العالم تعمل على إيجاد طرق لزراعة أو تنمية أسنان بيولوجية حقيقية في الفك البشري.
قد يكون هذا أمرًا بعيد المنال، لكن آنا أنجيلوفا فولبوني، مديرة برنامج الدراسات العليا في طب الأسنان التجديدي، في جامعة كينغز كوليدج لندن، كانت تجري تجارب على الأسنان المزروعة في المختبر منذ ما يقرب من عقدين من الزمن، وكانت جزءًا من فريق قام في عام 2013 بزراعة سن من خلايا بشرية وفأرية.
وفي هذا العام، قادت دراسة اعتمدت على هذا العمل وحققت اختراقًا في المواد المستخدمة لإيواء الأسنان النامية في المختبر، والتي تحاكي بشكل أفضل البيئة الفعلية التي تنمو فيها الأسنان البيولوجية في الفم. إنها خطوة أساسية على طريق استبدال خلايا الفأر بخلايا بشرية وتحفيزها على تكوين الأسنان.
قالت فولبوني إن فكرة إنشاء أسنان مزروعة في المختبر تعود إلى ثمانينيات القرن الماضي، لكن تلك التي ابتكرتها هي وزملاؤها منذ أكثر من عقد من الزمان كانت الأولى التي استخدمت خلايا اللثة البشرية البالغة – التي تشكل اللثة ويتم الحصول عليها عن طريق خدش الجزء الداخلي من الفم بخفة – ودمجتها مع خلايا الأسنان “السلفية” المأخوذة من جنين فأر.
وقالت عن العناصر التي تساهم في نمو الأسنان في المختبر: “إنه يشبه الحامل ثلاثي القوائم تقريبًا”. “ينخرط نوعا الخلايا في صنع الأسنان، في نوع من المحادثة، ومن ثم لدينا البيئة التي يحدث فيها هذا.”
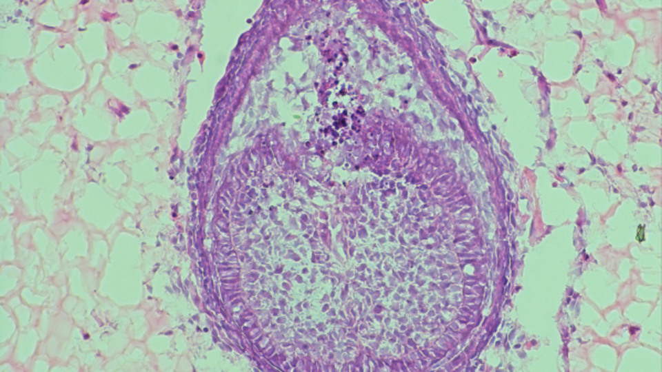
تعتبر البيئة، التي يطلق عليها الباحثون “السقالة”، ضرورية لتكوين الأسنان المزروعة في المختبر، وهي موضوع أحدث دراسة أجراها فولبوني. في عام 2013، استخدم فولبوني سقالة مصنوعة من بروتين الكولاجين، ولكنه يستخدم الآن هيدروجيل، وهو نوع من البوليمر يحتوي على نسبة عالية من الماء، كما أوضح شيويتشن تشانغ، طالب الدكتوراه في جامعة كينجز كوليدج في لندن، والمؤلف المشارك للدراسة. وقال: “نقوم بجمع الخلايا أولا من أجنة الفئران ثم نمزجها معا وندورها للحصول على كريات صغيرة من الخلايا”. “ثم نقوم بحقن هذه الكريات الخلوية داخل الهيدروجيل ونزرعها لمدة ثمانية أيام تقريبًا.” ولأن العمل يركز على البيئة، ليست هناك حاجة للخلايا البشرية.
وفي نهاية الأيام الثمانية، ستتشكل هياكل تشبه الأسنان داخل الهيدروجيل، والتي تم تطويرها بالتعاون مع إمبريال كوليدج لندن. في بحث عام 2013، تم نقل هذه “بدايات الأسنان” إلى فأر حيث تطورت إلى بنية أسنان كاملة مع تطوير الجذور والمينا.
Xuechen Zhang و Ana Angelova Volponi في المختبر في King’s College London. – لي تشون شو
وقال فولبوني إنه لا تزال هناك العديد من التحديات قبل أن يتم استخدام السن المزروع في المختبر على مريض بشري، لكن المادة الجديدة تساعد في حل بعض أجزاء هذا اللغز، من خلال تحسين “المحادثة” بين الخلايا المكلفة بصنع السن.
لا يزال الباحثون لا يعرفون بالضبط كيفية استبدال خلايا الفأر الجنينية بخلايا بشرية بالغة، ولكن إذا تم حل هذا اللغز، فإن فولبوني يتصور طريقتين محتملتين لدمج الأسنان المزروعة في المختبر في طب الأسنان اليومي: “إما أن ننمو سنًا حتى مرحلة معينة من التطور، ثم ندمجها في (مقبس السن)، حيث كانت السن المفقودة وحيث سيكون لدى السن الجديد القدرة على النمو بالكامل لتصبح سنًا بيولوجيًا، ودمج نفسها داخل الهياكل العضوية مثل العظام والأسنان. الرباط. أو نقوم بزراعة السن بالكامل أولاً ثم نقوم بزراعته جراحياً. ما زال من السابق لأوانه تحديد النهج الذي سيكون أكثر قابلية للتطبيق.
مميزات الأسنان الحقيقية
إن السن البديل البيولوجي الحقيقي المزروع من خلايا المريض نفسه سيوفر العديد من المزايا مقارنة بالتاج أو الزرع. أولاً، سيتم قبولها في الأنسجة دون التهاب أو رفض، ولكنها ستشعر أيضًا وكأنها سن حقيقي تمامًا – على عكس الغرسات التي تفتقر إلى الشعور والمرونة حيث يتم دمجها ببساطة في العظم.
وفقًا لفيتور سي إم نيفيس، المحاضر السريري الأول في كلية طب الأسنان السريري بجامعة شيفيلد في إنجلترا، كان فولبوني منذ فترة طويلة رائدًا في مجال تجديد الأسنان بالكامل، وكان بمثابة مصدر إلهام للعديد من الباحثين حول العالم. قال نيفيز، الذي لم يشارك في دراسة فولبوني: “إن بحثها الجديد يتناول عاملاً رئيسياً في إنتاج هذه التكنولوجيا وتصنيعها المحتمل، ألا وهو استخدام المصفوفات في تجديد الأسنان بالكامل”.
وأضاف أن النتائج تسلط الضوء على أهمية خلق بيئة يمكن أن تدعم هندسة الأسنان بأكملها للتطبيق السريري: “كلما زاد عدد الباحثين الذين يساهمون في تطوير هذا المجال، كلما تمكنت البشرية من جني فوائده بشكل أسرع”.
يستخدم باحثون آخرون يعملون في نفس المجال مجموعة متنوعة من التقنيات المختلفة لنمو الأسنان.
يقوم كاتسو تاكاهاشي وزملاؤه في مستشفى كيتانو التابع لمعهد الأبحاث الطبية في أوساكا بتطوير علاج قائم على الأجسام المضادة يهدف إلى تعزيز نمو الأسنان لدى الأشخاص الذين يعانون من حالات مثل انعدام الأسنان، أو النقص الخلقي في الأسنان. وقد دخل العلاج مرحلة التجارب السريرية على البشر، ومن الممكن أن يكون جاهزًا بحلول نهاية العقد.
في أواخر عام 2024، قام فريق بقيادة باميلا يليك في كلية طب الأسنان بجامعة تافتس، بزراعة أسنان شبيهة بالإنسان – تم إنشاؤها من خلايا بشرية وخنازير – في الخنازير. الخنازير، على عكس البشر، تعيد نمو أسنانها عدة مرات خلال حياتها. والهدف النهائي هو تحفيز الخلايا في الفك البشري على نمو أسنان جديدة، دون استخدام أي خلايا خنزير.
في جامعة واشنطن، نجح فريق بقيادة هانيلي روهولا بيكر، أستاذ الكيمياء الحيوية والمدير المساعد لمعهد الجامعة للخلايا الجذعية والطب التجديدي، في تنمية الخلايا الجذعية لب الأسنان من الخلايا الجذعية البشرية المستخرجة من ضرس العقل المتبرع به: “نحن نهدف إلى الكشف عن المخطط الجزيئي لتكوين الأسنان البشرية وإعادة إنشاء هذه العملية في المختبر”. “في حين أن دراسة فولبوني تبني هياكل تشبه الأسنان من أنسجة الأسنان الموجودة، فإن منصتنا تولد أنواع الخلايا البشرية المكونة للأسنان (من الصفر) وتوجهها على طول مسارات تنموية حقيقية.”
أما بالنسبة للوقت الذي ستصبح فيه ثمار كل هذه الأبحاث متاحة، فتعتقد روهولا بيكر أننا لن نضطر إلى الانتظار كل هذا الوقت. وقالت: “على الرغم من أن الترجمة السريرية ستستغرق وقتًا، إلا أن الزخم في هذا المجال يتسارع، مما يبشر بمستقبل يصبح فيه إصلاح الأسنان البيولوجي أو استبدالها خيارًا واقعيًا خلال العقد المقبل”.
لمزيد من الأخبار والنشرات الإخبارية لـ CNN، قم بإنشاء حساب على CNN.com

















اترك ردك