اكتشف الباحثون وجود صلة بين عدوى الأمعاء المزمنة الناجمة عن فيروس شائع وتطور مرض الزهايمر لدى بعض الأشخاص.
يصاب معظم الأشخاص بالفيروس المضخم للخلايا (CMV) أثناء مرحلة الطفولة، وبعد الإصابة الأولية، يظل الفيروس في الجسم مدى الحياة، وعادةً ما يكون خاملًا.
بحلول سن 80 عامًا، سيكون لدى 9 من كل 10 أشخاص أجسام مضادة للفيروس المضخم للخلايا (CMV) في دمائهم. ينتشر العامل الممرض، وهو نوع من فيروس الهربس، عن طريق سوائل الجسم (مثل حليب الثدي واللعاب والدم والسائل المنوي) ولكن فقط عندما يكون الفيروس نشطًا.
وأظهرت الدراسة أنه في إحدى المجموعات غير المحظوظة، ربما يكون الفيروس قد وجد ثغرة بيولوجية حيث يمكن أن يظل نشطًا لفترة كافية ليقطع الطريق عبر “الطريق السريع” لمحور الأمعاء والدماغ، والمعروف رسميًا باسم العصب المبهم.
عند وصول الفيروس النشط إلى الدماغ، لديه القدرة على تفاقم الجهاز المناعي والمساهمة في تطور مرض الزهايمر.
إنه احتمال مثير للقلق، ولكنه يعني أيضًا أن الأدوية المضادة للفيروسات قد تكون قادرة على منع بعض الأشخاص من الإصابة بمرض الزهايمر، خاصة إذا تمكن الباحثون من تطوير اختبارات الدم للكشف بسرعة عن عدوى الفيروس المضخم للخلايا (CMV) النشطة في الأمعاء.
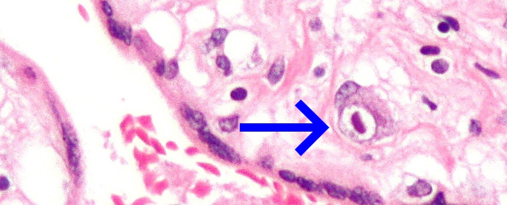
في وقت سابق من هذا العام، أعلن بعض أعضاء الفريق من جامعة ولاية أريزونا عن وجود صلة بين نوع فرعي من الخلايا الدبقية الصغيرة المرتبطة بمرض الزهايمر، يسمى CD83 (+) بسبب المراوغات الجينية للخلية، وارتفاع مستويات الغلوبولين المناعي G4 في القولون المستعرض، والذي ألمح إلى نوع من العدوى.
الخلايا الدبقية الصغيرة هي الخلايا المسؤولة عن التنظيف في جميع أنحاء الجهاز العصبي المركزي. إنهم يبحثون عن اللويحات والحطام والخلايا العصبية والمشابك العصبية الزائدة أو المكسورة، ويقضمونها حيثما أمكن ذلك ويطلقون الإنذارات عندما تكون العدوى أو الضرر خارج نطاق السيطرة.
إنهم هنا للمساعدة، ولكن إذا تم إطلاق الخلايا الدبقية الصغيرة باستمرار، مطلقة العنان لأسلحتها الالتهابية دون توقف، فقد يؤدي ذلك إلى تلف الخلايا العصبية المرتبط بمرض الزهايمر.
يقول عالم الطب الحيوي والمؤلف الرئيسي بن ريدهيد من جامعة ولاية أريزونا: “نعتقد أننا وجدنا نوعًا فرعيًا فريدًا من الناحية البيولوجية لمرض الزهايمر قد يؤثر على 25% إلى 45% من الأشخاص المصابين بهذا المرض”.
“يتضمن هذا النوع الفرعي من مرض الزهايمر السمة المميزة لويحات الأميلويد وتشابكات تاو – وهي تشوهات دماغية مجهرية تستخدم للتشخيص – ويتميز بمظهر بيولوجي متميز للفيروسات والأجسام المضادة والخلايا المناعية في الدماغ.”
تمكن الباحثون من الوصول إلى مجموعة من أنسجة الأعضاء المتبرع بها، بما في ذلك القولون والعصب المبهم والدماغ والسائل الشوكي، من 101 متبرع بالجسم، 66 منهم مصابون بمرض الزهايمر. وقد ساعدهم ذلك على دراسة كيفية تفاعل أجهزة الجسم مع مرض الزهايمر، والذي غالبًا ما يتم النظر إليه من خلال عدسة عصبية بحتة.
وتتبعوا وجود الأجسام المضادة للفيروس المضخم للخلايا (CMV) من أمعاء المتبرعين، إلى السائل الشوكي، وصولاً إلى أدمغتهم، واكتشفوا حتى الفيروس نفسه كامنًا داخل الأعصاب المبهمة للمتبرعين.
ظهرت نفس الأنماط عندما كرروا الدراسة في مجموعة منفصلة ومستقلة.
قدمت نماذج خلايا الدماغ البشرية دليلًا إضافيًا على تورط الفيروس، عن طريق زيادة إنتاج بروتين الأميلويد وبروتين تاو المفسفر والمساهمة في تنكس الخلايا العصبية وموتها.
والأهم من ذلك، أنه تم العثور على هذه الروابط فقط في مجموعة فرعية صغيرة جدًا من الأفراد المصابين بعدوى CMV المعوية المزمنة. نظرًا لأن كل شخص تقريبًا على اتصال بفيروس CMV، فإن مجرد التعرض للفيروس لا يكون دائمًا سببًا للقلق.
يعمل ريدهيد وفريقه على تطوير اختبار دم يكشف عن عدوى CMV المعوية حتى يمكن علاجها بالأدوية المضادة للفيروسات، وربما يمنع المرضى من الإصابة بهذا النوع من مرض الزهايمر.
وقد نشر البحث في مرض الزهايمر والخرف: مجلة جمعية الزهايمر.

















اترك ردك